Panda-Weibchen Meng Meng im Berliner Zoo ist tatsächlich wieder trächtig. „Die Babys sind etwa 2,5 Zentimeter groß und müssen jetzt bis zur Geburt noch ordentlich wachsen“, sagte Thomas Hildebrandt, Leiter der Abteilung für Reproduktionsmanagement am Leibniz-Institut für Zoo- und Wildtierforschung.
Anzeichen für eine Trächtigkeit hatte es bereits seit einigen Wochen gegeben. Seit der künstlichen Besamung am 26. März hatte Meng Meng ordentlich an Gewicht zugenommen und auch die Hormonwerte sahen vielversprechend aus. Das Panda-Weibchen hatte sich zuletzt aber nicht besonders kooperativ gezeigt, was eine Untersuchung anging.
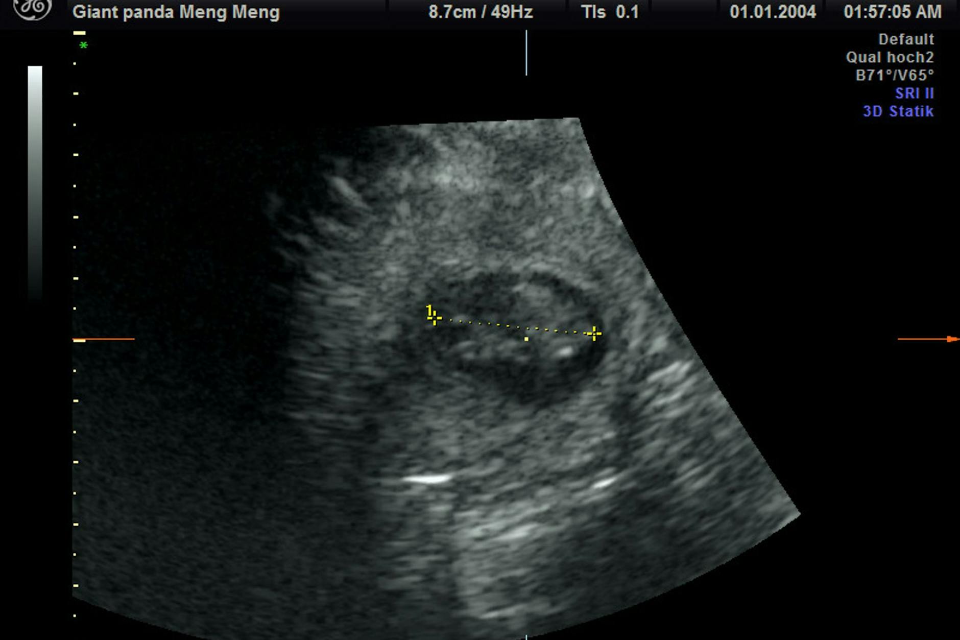
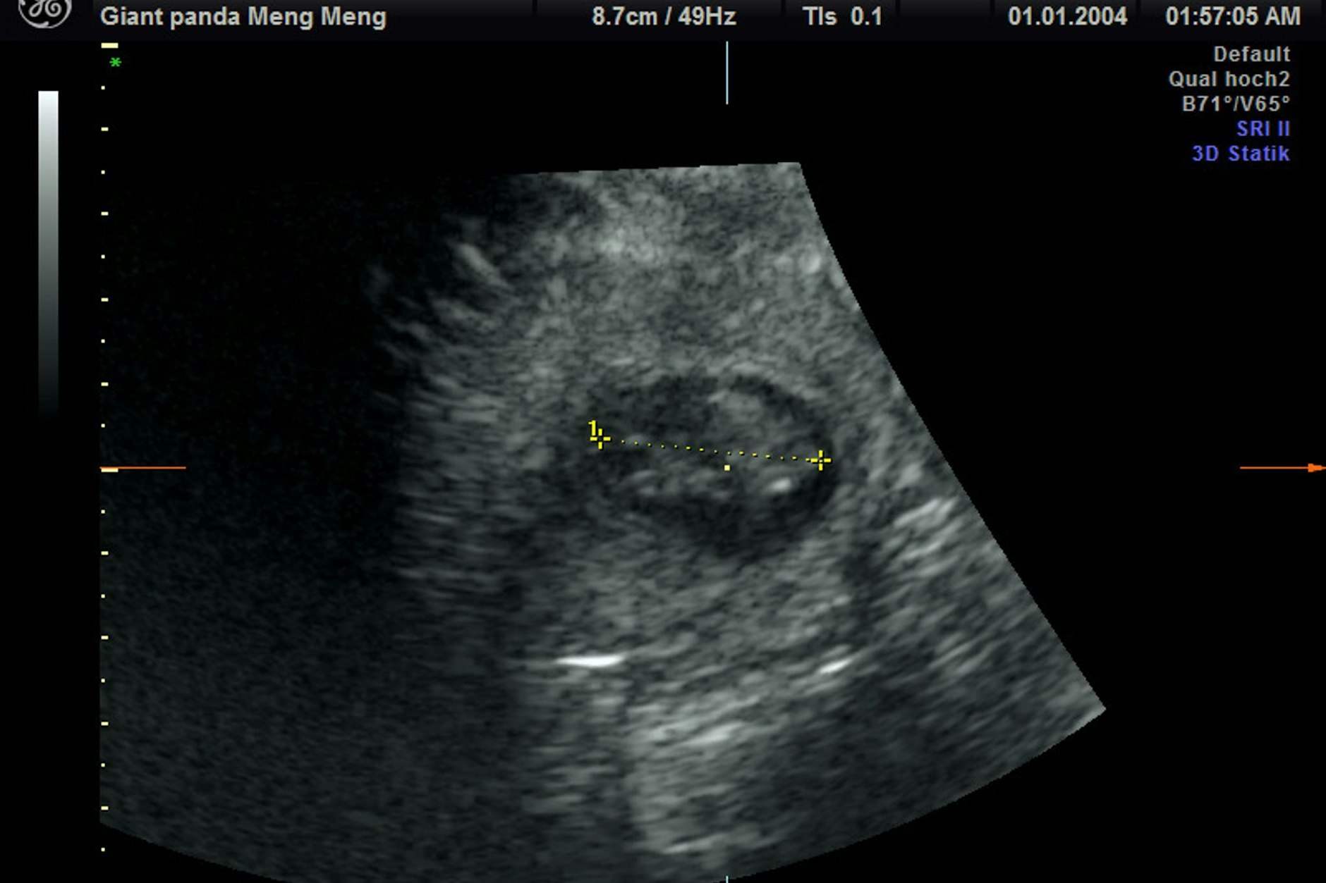
Schließlich klappte es doch: „Trotz sichtlichen Bauchkneifens“ habe Meng Meng sich überzeugen lassen, „in den aufrechten Stand zu kommen und das kühle Ultraschall-Gel sowie die Untersuchung mit der Ultraschall-Sonde zu akzeptieren“, sagte Hildebrandt. „Eine Untersuchung im Stehen hat schließlich die freudige Nachricht gebracht, dass Meng Meng mit zwei Jungtieren trächtig ist.“

Die Freude im Team sei riesig gewesen, weil es schon einige erfolglose Ultraschallversuche gegeben habe, sagte Zootierärztin Franziska Sutter, die ebenfalls an der Untersuchung beteiligt war. „Bei aller Begeisterung müssen wir uns darüber im Klaren sein, dass das ein sehr frühes Stadium der Trächtigkeit ist und eine sogenannte Resorption – also ein Absterben - des Embryos zu diesem Zeitpunkt noch möglich ist“, sagte Sutter. Die Tragzeit beträgt bei Großen Pandas in der Regel drei bis sechs Monate.
Die Entwicklung werde mit Ultraschalluntersuchungen und einer Hormonanalyse weiterverfolgt. „Wir hoffen sehr, dass alles genauso gut klappt wie beim letzten Mal 2019.“ Damals war die erste Panda-Geburt in einem deutschen Zoo überhaupt eine Sensation: Die Zwillinge und einstigen Publikumslieblinge Pit und Paule sind mittlerweile nicht mehr in Berlin.
Sie erhalten eine Bestätigung per E-Mail.
