Lund/Aachen-Die Brustkrebs-Früherkennung, zu der in Deutschland Frauen zwischen 50 und 69 Jahren alle zwei Jahre zur Mammografie eingeladen werden, soll gefährliche Tumore zeitig aufspüren. Dass das oft nicht gelingt, zeigen die sogenannten Intervallkarzinome: Das sind Tumore, die nach einer unauffälligen Früherkennungs-Mammografie diagnostiziert werden, etwa weil sie durch Tastbefund auffällig werden. „Ein Intervallkarzinom ist ein Indiz für eine gescheiterte Früherkennung“, sagt Christiane Kuhl von der Uniklinik Aachen.
Dies betreffe insbesondere Frauen mit dichtem Drüsengewebe. Bei Frauen, die an der Mammografie teilnehmen, seien je nach Dichte des Drüsengewebes bis zu 43 Prozent der Brusttumore solche Intervallkarzinome. Ziel der Früherkennung sei es, die Rate dieser Karzinome zu senken, betont die Direktorin der Klinik für Diagnostische und Interventionelle Radiologie.
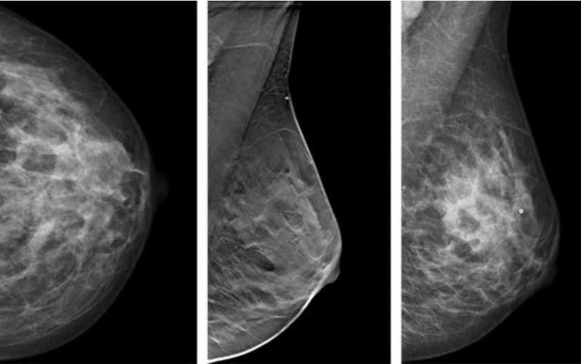
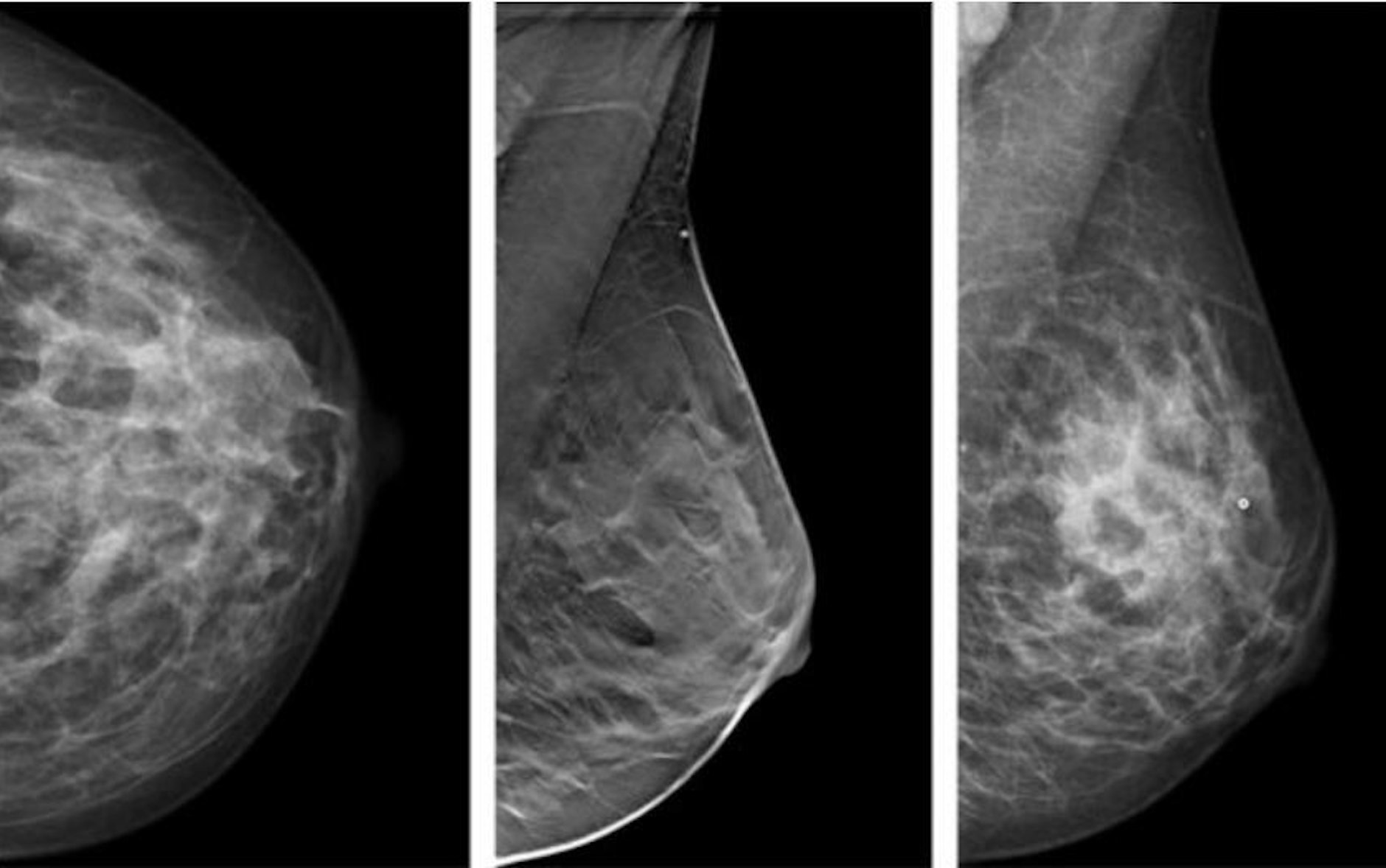
Dies kann die sogenannte Tomosynthese einer schwedischen Studie zufolge anscheinend eher als die derzeit gängige Mammografie, wie ein Team um die Radiologin Kristin Johnson von der Universität Lund im Fachblatt „Radiology“ berichtet. Ebenso wie die Mammografie beruht die Tomosynthese auf Röntgenstrahlen. Aber während die Mammografie gewöhnlich nur zwei Ebenen zeigt, durchleuchtet bei der Tomosynthese eine sich drehende Röntgenquelle die Brust aus verschiedenen Winkeln. Die Bilder werden dann am Computer in ein dreidimensionales Modell umgerechnet – daher wird das Verfahren zuweilen auch 3D-Mammografie genannt.

Tomosynthese kann Rate an Intervallkarzinomen senken
Derzeit wird die Tomosynthese häufig zum Abklären auffälliger Befunde eingesetzt und nur selten zur Früherkennung – auch weil unklar ist, ob ihr Nutzen den hohen Aufwand und die zusätzliche Strahlenbelastung rechtfertigt.
Hier liefert die schwedische Studie ein Indiz: Darin untersuchte das Team um Johnson 15.000 Frauen, die von 2010 bis 2015 per Mammografie und Tomosynthese untersucht worden waren, sowie mehr als 26.000 vergleichbare Frauen, die nur die Mammografie erhielten. Während in dieser Kontrollgruppe durchschnittlich bei 2,8 von 1000 Frauen Intervallkarzinome auftraten, waren es mithilfe der Tomosynthese nur 1,6 – ein Rückgang um 40 Prozent. Zudem waren diese Tumore im Mittel kleiner, und die Lymphknoten waren seltener befallen.
Allerdings räumt das Team eine große Schwäche ein: Die Frauen der einen Gruppe wurden per Mammografie untersucht, die übrigen per Tomosynthese plus Mammografie. Das macht einen direkten Vergleich schwierig.
Trotz dieses Mankos geht der niederländische Radiologe Ritse Mann von der Uniklinik Radboud aufgrund der Datenanalyse in einem „Radiology“-Kommentar davon aus, dass die Tomosynthese die Rate an Intervallkarzinomen senken kann, „wenn auch in einem etwas geringeren Ausmaß als von den Autoren angegeben“. In welchem Maß genau, müssten weitere Studien zeigen. Dennoch, so der Mediziner, sei die Tomosynthese der Mammografie überlegen.
Dem stimmt seine Aachener Kollegin Kuhl grundsätzlich zu. Sie betont jedoch, dass frühere Studien zur Frage der Intervallkarzinome keine Senkung des Risikos durch die Tomosynthese gezeigt hätten. Daher müsse man die Ergebnisse der schwedischen Studie mit Vorsicht interpretieren.
MRT ist ein wesentlich zuverlässigeres Verfahren
Ohnehin gebe es mit der Magnetresonanztomographie (MRT) ein wesentlich zuverlässigeres Verfahren, betont Kuhl. Seit Jahren plädiert sie für eine verstärkte MRT-Nutzung bei der Brustkrebs-Vorsorge. Gestützt wird diese Forderung durch eine Ende 2019 im „New England Journal of Medicine“ publizierte Studie. Darin untersuchten niederländische Mediziner – darunter der Radboud-Radiologe Mann – den Einfluss der MRT im Vergleich zur Mammografie auf die Rate der Intervallkarzinome an über 30.000 Frauen mit extrem dichtem Brustgewebe und damit einem höheren Risiko.


